As per statistics, more than 370,000 people die of coronary heart disease annually. The disease refers to a narrowing of the coronary arteries that supply oxygen and blood to the heart. As per latest research reports, a kind of rare gene mutation may prevent major heart diseases. Previously, scientists have abstained from targeting apolipoprotein B (APOB) gene because it carries a risk of fatty liver disease. However, naturally occurring mutation suggests otherwise.
The study was co-led by a researche from the Boston University of Public Health (BUSPH). The study unearths that protein truncating variants in the aforementioned apolipoprotein B (APOB) gene are directly linked to lower triglyceride and LDL cholesterol levels, which significantly lowers the risk of coronary heart disease by almost 72 percent.
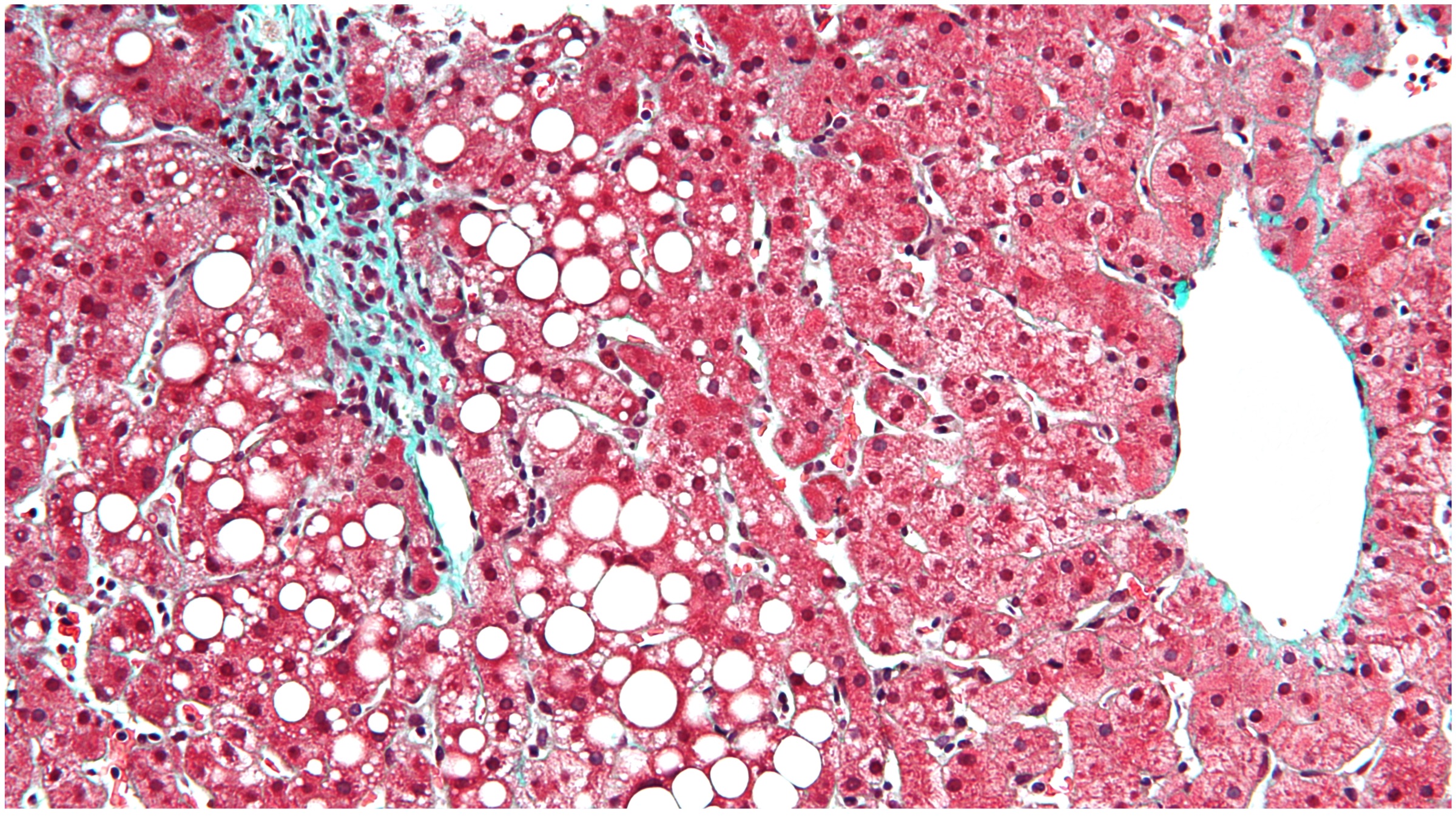
What is FHBL?
Familial hypobetalipoproteinemia (FHBL) is a disorder that deprives the body of the ability to absorb and transport fats. The protein truncating genomes in the APOB are the major causes of the disorder. The people with FHBL are usually at a high risk of developing fatty liver disease. Using genetics, the researchers can target the gene responsible for the same and thereafter greatly reduce the risk of coronary heart disease.
Also Read: PUBG Mobile Season 7 Released, New Weapon, Skin Among Other Features Added
The researchers sequenced the APOB gene in different members of almost 29 Japanese families with FHBL. Eight of the Japanese families had the previously mentioned protein-truncating variants in APOB, and the rest of individuals with one of those variants had lower LDL cholesterol levels than individuals who did not have an APOB variant. This clearly indicated that the carrying gene variants in APOB greatly reduce the risk of coronary heart disease. This discovery may lead to a massive reduction of such cases across the globe in the future.

Leave a Reply